大江橋クリニックでは、眼瞼(まぶた)の形を整える
さまざまな眼瞼の形成手術を行っています
大江橋クリニックで行なっている眼瞼下垂症の手術については、眼瞼下垂の特集ページにまとめてあります。ご参照ください。
眼瞼にできた腫瘍(できもの)の摘出と再建
瞼のできもの(黄色種、汗管腫、皮様嚢腫など)やほくろは、そのまま切り取ると変形を残すことがあり、形成外科的な再建が必要となります。
瞼および周辺の色素性母斑(ほくろ、黒子)
眼瞼縁近くのホクロ症例はいずれ追加します
眼瞼周囲のホクロ手術症例
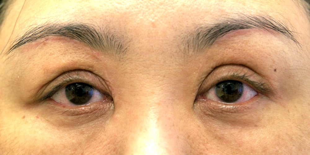
症例: 目頭の黒子の例
汗管腫の部分切除に併せて目頭のホクロも切除した。術後写真は2ヶ月半後のもの。まだ赤みと瘢痕が残っている。
同一症例の経過: 左からおよそ半年後、1年半後、11年後。
ホクロの傷痕は全くわからなくなった(汗管腫の切除しなかったものは10年でやや拡大している)
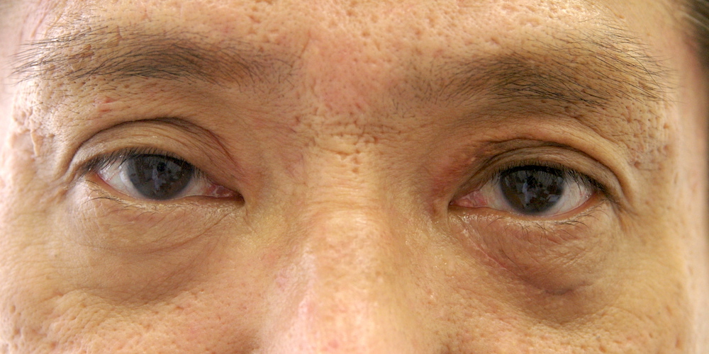
症例: 眉の近くの黒子の例
顔面に多発するホクロを7カ所切除したうちの一部。右は術後6ヶ月
眉の上に三角形の傷痕が残っているのは、眉が上がらないよう下記のような島状皮弁による再建を行なったため
眼瞼のホクロ(色素性母斑)
黒く丸いできものとして知られるホクロは、医学的には色素細胞性母斑、母斑細胞性母斑、メラニン細胞性母斑などと呼ばれます。
「母斑」とは「アザ」のことで、生まれながらに存在することを示しています。
実際には大人になり、おおよそ30歳を過ぎた頃から目立って数が増えてくることが多いのですが、この場合も「眼に見えないほど小さなものが、もともとその場所にあり、徐々に拡大して眼に見える大きさになった」と考えられます。
生まれた時からある程度の大きさがあり、あまり盛り上がっていない場合は通常「黒アザ」と呼ばれることが多いのですが、組織学的には同じものです。ほくろの上に毛穴があれば、黒く長い毛が生えてきます。
ほくろは黒いとは限らず、メラニン色素をあまり作らないものは色がなくイボのように見える場合もあります。
このためほくろかどうかを肉眼的に判断することは難しい場合もあります。
このような場合には切除して精密検査を行なった方が良いでしょう。肉眼的にはホクロかいぼのように見える悪性腫瘍もあるからです。
ほくろそのものは通常悪性ではありませんが、黒いできもの、丸く盛り上がったできものがすなわちほくろであるとは限らず、ほくろに似た皮膚がん(悪性黒色腫や基底細胞癌など)の場合もあります。
小さいうちに悪性かどうかを肉眼的に判断することは難しい場合があります。
最近はダーモスコープ(皮膚用実体顕微鏡)を用いることである程度見分けがつくようになりましたが、100%確実とはいかず、怪しいものは最終的には切除して精密検査を行なう必要があります。(実際に直径1ミリ〜3ミリ程度の、肉眼的には普通のほくろのように見えた黒いできものが。切り取って検査してみたら悪性腫瘍であった経験は多数あります。)
ホクロの切除は自費で行っています
いわゆるホクロを美容的な目的(見た目の改善目的)でとる場合には保険適応となりません。(→ 美容外科)悪性化どうか判断するために保険で調べたいという場合は、お近くの皮膚科・形成外科をご利用ください。
大江橋クリニックでは傷跡を目立たせずきれいに取りたいという方のために自費で手術を行なっています。もちろん上で述べたように皮膚のできものには悪性のものもあり、ホクロのように見えて違うものがたくさんありますので、必要と判断すれば残さず切り取り、確実を期して病理診断を行います。
病理検査は国内でも屈指の皮膚病理診断専門施設である札幌皮膚病理診断科に全例依頼してしています。
黒子を切り取る時は通常は単純切除します(形なりにギリギリに切り取りますが、二重のラインなどが変化しないようデザインには工夫が要ります)。ある程度大きいものは、切り取った後の瞼の皮膚が欠損となりそのままでは塞げないため、皮弁術などの形成外科的工夫をして瞼の再建を行なう必要があります。
傷痕はできる限り小さくめだたなくなるような工夫をしていますが、切除法は部位によって変わります。複数を一度にとる場合など、特殊なデザインを必要とする場合もあります。
瞼の縁や睫毛の間、眉の中などにできたものは、眼の形が変わらないように、毛が欠損しないように様々な工夫が必要です。再発を覚悟の上で毛根を傷めてハゲにならないように浅く削ぎ取るように切除したり、敢えて糸で縫わずに変形を防止したりもします。
もちろん悪性のものなど、より専門的な治療が必要な場合は、しかるべき施設をご紹介いたします。
眼瞼縁近くのホクロ症例はいずれ追加します
眼瞼周囲のホクロ手術症例
症例: 目頭の黒子の例
汗管腫の部分切除に併せて目頭のホクロも切除した。術後写真は2ヶ月半後のもの。まだ赤みと瘢痕が残っている。


同一症例の経過: 左からおよそ半年後、1年半後、11年後。
ホクロの傷痕は全くわからなくなった(汗管腫の切除しなかったものは10年でやや拡大している)



症例: 眉の近くの黒子の例
顔面に多発するホクロを7カ所切除したうちの一部。右は術後6ヶ月
眉の上に三角形の傷痕が残っているのは、眉が上がらないよう下記のような島状皮弁による再建を行なったため



眼瞼のホクロ(色素性母斑)
黒く丸いできものとして知られるホクロは、医学的には色素細胞性母斑、母斑細胞性母斑、メラニン細胞性母斑などと呼ばれます。
「母斑」とは「アザ」のことで、生まれながらに存在することを示しています。
実際には大人になり、おおよそ30歳を過ぎた頃から目立って数が増えてくることが多いのですが、この場合も「眼に見えないほど小さなものが、もともとその場所にあり、徐々に拡大して眼に見える大きさになった」と考えられます。
生まれた時からある程度の大きさがあり、あまり盛り上がっていない場合は通常「黒アザ」と呼ばれることが多いのですが、組織学的には同じものです。ほくろの上に毛穴があれば、黒く長い毛が生えてきます。
ほくろは黒いとは限らず、メラニン色素をあまり作らないものは色がなくイボのように見える場合もあります。
このためほくろかどうかを肉眼的に判断することは難しい場合もあります。
このような場合には切除して精密検査を行なった方が良いでしょう。肉眼的にはホクロかいぼのように見える悪性腫瘍もあるからです。
ほくろそのものは通常悪性ではありませんが、黒いできもの、丸く盛り上がったできものがすなわちほくろであるとは限らず、ほくろに似た皮膚がん(悪性黒色腫や基底細胞癌など)の場合もあります。
小さいうちに悪性かどうかを肉眼的に判断することは難しい場合があります。
最近はダーモスコープ(皮膚用実体顕微鏡)を用いることである程度見分けがつくようになりましたが、100%確実とはいかず、怪しいものは最終的には切除して精密検査を行なう必要があります。(実際に直径1ミリ〜3ミリ程度の、肉眼的には普通のほくろのように見えた黒いできものが。切り取って検査してみたら悪性腫瘍であった経験は多数あります。)
ホクロの切除は自費で行っています
いわゆるホクロを美容的な目的(見た目の改善目的)でとる場合には保険適応となりません。(→ 美容外科)悪性化どうか判断するために保険で調べたいという場合は、お近くの皮膚科・形成外科をご利用ください。
大江橋クリニックでは傷跡を目立たせずきれいに取りたいという方のために自費で手術を行なっています。もちろん上で述べたように皮膚のできものには悪性のものもあり、ホクロのように見えて違うものがたくさんありますので、必要と判断すれば残さず切り取り、確実を期して病理診断を行います。
病理検査は国内でも屈指の皮膚病理診断専門施設である札幌皮膚病理診断科に全例依頼してしています。
黒子を切り取る時は通常は単純切除します(形なりにギリギリに切り取りますが、二重のラインなどが変化しないようデザインには工夫が要ります)。ある程度大きいものは、切り取った後の瞼の皮膚が欠損となりそのままでは塞げないため、皮弁術などの形成外科的工夫をして瞼の再建を行なう必要があります。
傷痕はできる限り小さくめだたなくなるような工夫をしていますが、切除法は部位によって変わります。複数を一度にとる場合など、特殊なデザインを必要とする場合もあります。
瞼の縁や睫毛の間、眉の中などにできたものは、眼の形が変わらないように、毛が欠損しないように様々な工夫が必要です。再発を覚悟の上で毛根を傷めてハゲにならないように浅く削ぎ取るように切除したり、敢えて糸で縫わずに変形を防止したりもします。
もちろん悪性のものなど、より専門的な治療が必要な場合は、しかるべき施設をご紹介いたします。
眼瞼黄色腫
通常は単純にできるだけ形に添って切除します。ある程度大きくなると、切り取った後の瞼の皮膚が欠損するため、皮弁術などの形成外科的工夫をして瞼の再建を行なう必要があります。

コレステロールを溜め込んだ細胞が増えていることから、高コレステロールの治療薬を内服する試みもされましたが、通常あまり効果はありません。見えているよりも広範囲に深くまで広がっていますから、切り取る事は簡単でも、傷をきれいに治すのは難しい腫瘍の一つです。
上の写真は、このページトップで紹介した再発症例(他院形成外科で切除したがとりきれておらず、切開線に沿って再発した)の術中写真です。
眼輪筋に染み込むように黄色い腫瘍が深くまで侵入しているのがわかります。
眼瞼黄色腫+眼瞼下垂+重瞼…
下の症例については少々説明が必要です。パッと見ると幅広で派手すぎる重瞼失敗例のように見えるのではないでしょうか。切開位置の不適切な眉下切開失敗例と思う方もいるかもしれません。
詳しい経過はいずれ症例ページを設ける予定ですが、まずは下の説明をお読みください。




症例:両上眼瞼の大半を占める大きな眼瞼黄色腫。関東在住のため自治医大病院を受診したところ、入院して瞼の皮膚をすべて切除し、耳の裏から皮膚を取って瞼全体の皮膚を張り替える手術を提案されたとのことです。
大阪に長期出張となったのを機会に大江橋クリニックを受診されました。奥二重で眉も上がり、軽症ですが両側の眼瞼下垂症も認めました。
これらを一括して治療するため、黄色腫をできるだけギリギリのラインで切除するとともに、眼瞼挙筋前転法による眼瞼下垂症手術と埋没法による重瞼作成を同時に行うこととしました。右の術後写真は、初回手術で作成した重瞼ラインがやや細く奥二重気味でご希望に合わなかったため、傷跡の修正を兼ねて初回手術の8ヶ月目に切開法で幅広く作成し直し、さらに7ヶ月経過した時点のものです。眉下のまだ赤い傷跡は再手術時のものです。
出張が終わり関東に戻られたため、以後の経過は追えていませんが、このような特殊な手術も行なっている例として出させていただきました。

右まぶたの術前拡大です。黄色い腫瘍部分は切除し、上下に残った皮膚を移動させ局所皮弁で再建すると同時に、縫合ラインが重瞼ラインと一致しないため、皮弁裏から糸をかけて埋没糸で重瞼ラインを作成します。

右側の手術後7日目、抜糸後の写真です。眉下に残ったわずかな皮膚を目頭方向に移動させるとともに、瞼縁の薄い皮膚を引き伸ばして欠損を塞ぎ、埋没法で重瞼ラインを作成しています。同様の手術を反対側にも行いました。
右と左では腫瘍の形が違うので、皮弁の形も縫合した傷も左右で異なります。傷跡や重瞼ラインが出来るだけ左右対称になるように工夫が必要でした。


初回術後7ヶ月目の写真です。まだ腫れているので本来ならばもう数ヶ月待ちたいところですが、ご本人の出張予定もあり再手術することになりました。眼瞼下垂はきれいに治り、眉も下がって傷跡と腫れぼったさは残るものの、このまま待っていれば徐々に目立たなくなるはずでした。
眉下の縫合の傷跡がやや目立つため縫い直して修正すると同時に、腫れが長引いて重瞼ラインが下がり奥二重になってきたのを、がっつり幅広二重にしたいというご希望でした。顔のパーツとしてはくっきりとした二重が似合いそうな方でしたので、しばらくは食い込みがきつくやや不自然であることはご納得いただいた上で、しっかりとした重瞼ラインを作りました。腫れが引いて自然になるには1年くらいかかりそうですが、今後の長い人生を考えれば今やっておくべきかとも思いお引き受けしました。
汗管腫
通常は眼瞼の周囲に多発する腫瘍ですが、場合によりこめかみや額、鼻根部まで広がる事もあります。
小さいものがぱらぱらと多発する場合と、つながり合って局面状になる場合があります。本体は皮膚の下にあるのですが、皮膚が白っぽく盛り上がるため、針で穴をあけたり削ったりすれば治りそうに見えます。
実際には深いので切除しないと治癒しませんが、非常に数が多い場合や面積が広い場合、すべては切除しきれません。切り取った後の瞼の皮膚が欠損する場合は皮弁術などの形成外科的工夫をして瞼の再建を行なう必要もあります。
見えているよりも広範囲に深くまで広がっていますから、すべて切り取ってきれいに治すのは難しい腫瘍の一つです。

汗管腫の本体は紫色に染まる表皮よりかなり深いところに広がっています。この深さまで切除しないと治癒しません。
CO2レーザーで蒸散する事もありますが、傷痕が白く目立ちかえって悪化したように見える場合があり、お勧めはしません。
現在のところ一つずつ丹念に切除するのが最も結果が良いようです。通常は片目ずつ、多発しているものを不連続に切り取ると、変形も少なく回復も早いようです。



目立つものを一つずつ丹念に切除縫合し、3〜5日目に抜糸します。術後しばらく赤みが目立ちます。この症例は11カ所切除(手術時間1時間)、3日目抜糸、右は術後7日目の写真。
皮様嚢腫
多くは眼窩の内側か外側に生まれつきある腫瘍です。奇形種の一種で、中には液体とともに毛髪や皮膚の一部、時には歯や骨の組織が含まれることもあります。眉の下の線に沿って切開し、袋を破かないように摘出します。骨に接触している事が多く、深いためにやや慎重な手術が必要です。
症例: 上眼瞼の皮角(脂漏性角化症に続発したもの)
皮角(日光角化症に続発したもの)
症例1: 日光角化症は前癌状態とも言えるので、中央に発生した皮角は切除し病理検査で悪性でないことを確認します。
術前


術後


術後1ヶ月です。腫瘍が重瞼ラインと睫毛の間の盛り上がった部分にあったため、まだ赤みがあり重瞼幅もやや広く腫れていますが、傷跡はほとんど目立ちません。腫れているように見えますが、下のように両目を比較すると1ヶ月後にはさほど目立ちません。
病理


上左は症例1の病理組織像です。表皮突起の著名な延長と角質増加で、疣状の変化を来していることがわかります。
皮角(脂漏性角化症に続発したもの)
症例2: 脂漏性角化症
左:術前 右:手術デザイン このようなデザインにしたのは理由があります


縫合直後と術後1ヶ月です。傷跡は赤みがあり腫れています。肥厚性瘢痕という状態です。本来なら紡錘形(細い木の葉型)に切除して上の症例1のように細い1本の線にすべきところです。
なぜこうなることを予想しながら上手右のようなデザインにしたのでしょうか。
答えは下欄をお読みください。


症例2の病理組織像です。拡大率は違いますが症例1と同じような状態です。


右図は術後1ヶ月の両眼開瞼時。実は患者さんは奥二重でした。
もし安易に紡錘形切除をすると、その瘢痕が重瞼切開法の高い位置どりの重瞼ラインのようになって、左眼だけ幅広の二重になってしまう可能性がありました。
このため、肥厚性瘢痕になる危険を承知で、切開位置に重瞼ラインを作らないようにZ型に切開したのでした。
肥厚性瘢痕は、術後1ヶ月くらいが一番目立ちますが、その後引いて傷も白く柔らかくなります。瞼はケロイドになりにくい場所ですので、長期的には特に心配がありません。
症例: 下眼瞼の表皮母斑(疣状母斑)
生まれつきあるイボの集まりのようなあざ(母斑)です。体のどこにでもできますが、皮膚のシワに沿うように列状に並ぶのが特徴です。
レーザーなどで表皮を完全に削り取ることで治療できますが、イボ状に部分は凹凸が激しいため、取り残すと再発してきます。できれば切り取ってしまいたいあざです。
下の写真は、下眼瞼の縁ギリギリに生まれつきあったものですが、手術で全切除しました。再発なく、傷跡も目立たず、良好な結果です。


普通の表情の時はあまり目立ちませんが、上方視するなど表情によっては異物が付いているようにも見えて気になります。


術後1ヶ月目。まだ赤みがあります。まつげの生え際で皮膚をT字型に寄せてあるため、多少引きつれが残っています。


術後半年です。傷跡は右の写真のように皮膚を引っ張ってもほとんど目立ちません。
症例: 下眼瞼の脂漏性角化症
黒子を取りたいということで診察したところ脂漏性角化症でした。


下眼瞼の腫瘍は術後1ヶ月くらいで比較的きれいに治ります。

病理所見です。病理組織上も偽角化嚢腫を伴う脂漏性角化症と確認できました。
内反症・外反症
内反症(睫毛内反症、眼瞼内反症)
睫毛が内側を向いて目に入って痛いいわゆる逆まつげには、1本ないし数本のまつげが、瞼のグレイライン(結膜と皮膚との間にうっすらと見える細い灰色のライン)より内側に生えている場合(睫毛乱生)と、生えている位置は正しいが方向が外側に向かわず黒目(角膜)の方にカーブしてしまう場合(睫毛内反)、更には瞼の構造そのものが内側にまくれ込んで、睫毛がすべて内側を向く、より重症な場合(眼瞼内反)などがあり、すべてを同一の方法で治療する事はできません。
また、上眼瞼の場合と下眼瞼の場合では、病因や重症度などに違いがある事が多く、なかなか一筋縄では行きません。
「逆まつげ」はふつう睫毛内反症と言います。睫毛内反症に対して眼科で行う簡単な手術は、健康保険で受けられます。
手術には2種類の方法があり、ナイロン糸で留める二重の埋没法のような方法と、切開して皮膚の一部を切除する方法とがあります。縫合法は費用は安いものの効果は限定的です。皮膚切開法は習熟した医師が行えばより安定した効果が望めます。
大江橋クリニックでは自費で切開方を行なっています
埋没法類似の縫合法の場合、糸をかける位置の都合で中央部分は改善できるのですが目頭側と目尻側の矯正が十分にできません。上眼瞼の場合、所謂蒙古襞の内側や目尻のかぶさりの部分で睫毛が内側を向いている方が多く、埋没法ではここに影響が及ばないためです。したがって通常この方法で済む場合はあまりありません。
この症状が出るのはいわゆる一重瞼(ひとえまぶた)で蒙古襞の緊張が強い方が多いように思います。二重のラインで皮膚を切開し、余分な皮膚と眼輪筋を切除しますが、その際に蒙古襞を形成する靭帯を一部切断して緩めたり、目頭切開のように皮膚を入れ替えたり、睫毛の毛根部分を剥離して動きを良くしたりする必要が出てきます。こうした細かい作業は時間もかかり、保険では全く赤字になるので自費で行うことにしました。
下眼瞼の内反症手術
この症状は下眼瞼の眼輪筋の緊張が強く、瞼板の上に乗り上げて睫毛を内側に押すタイプ(若い人、特に子供に多い)と、反対に瞼板を支える靭帯が緩んで内側に倒れ込むタイプ(老人に多い)とに分かれます。
前者は眼輪筋をある程度切除し、特に下方視の際に眼輪筋がずり上がらないように瞼板に固定する必要があり、重瞼切開法の下眼瞼版のような手術になります。
後者は、下眼瞼の瞼板を牽引する靭帯(上眼瞼の眼瞼挙筋に相当)を瞼板から切り離して位置を調整し、内眥靭帯、外眦靭帯の引き締め、瞼板の短縮などを行なって治療します。眼輪筋のボリュームを減らして瞼の前葉と後葉のバランスをとる必要もあり、上眼瞼の眼瞼下垂症手術に似た手術となります。時には軟骨移植などが必要となる場合もあります。
いずれも時間もかかり細かい調整が必要な手術となり、これも相応のコストをいただくべきと考え保険適応をやめました。
(眼瞼下制筋前転法の術式が新たに保険適応となりました。高齢の方などでまぶたの筋肉や靭帯がゆるくなり、下眼瞼全体が内側に倒れてしまう時の手術法です。ただし、これは上記の説明のうち腱膜前転のみを行った場合の術式であり、そのほかの調整を加えた場合は保険適応とするのは難しいと考えます。
逆まつげの手術が保険でできる二重の手術だと誤解している方へ
二重にする手術と同じであると誤解して、健康保険で二重の手術を受けようと、特に症状がないのに逆まつげだと言って眼科や形成外科を受診される方が稀にあります。
逆まつげの手術は二重の手術と同じように見えますが、手術に当たって注意するポイントが異なるので、必ずしも美容的に満足できるとは限りません。
実際に診察すれば症状がないことはわかるのですが、わかっていても黙って手術を引き受ける医師もいるかもしれません。
しかし身にやましいところがあれば、万一不満足な結果に終わっても文句も言いづらいでしょう。
美容の手術はきちんと美容目的である事をお互いに合意して行なう事が、無用なトラブルを避けるコツだと考えます。
外反症
いわゆる兎眼、あかんべえ状態を改善する手術です。他院での美容手術や腫瘍切除などで眼瞼の皮膚が足りなくなった場合は植皮が必要なこともあります。瞼を支える靱帯や腱板がゆるんだ場合は、筋肉の引き締めだけでなく軟骨移植等が必要になることもあります。
編集中
眼瞼の瘢痕(傷痕)
瘢痕拘縮形成術
健康保険の対象となる「瘢痕拘縮形成術」は単なる醜状にとどまらず「運動制限を伴う」場合に限ると規定されています。
瞼の運動制限とは、瘢痕の引き攣れによって眼が開かない場合、閉じない場合に相当します。
目が閉じにくいため眼が乾く、涙がこぼれるなどの機能的な障害がある場合は、症状により健康保険での手術が可能なこともあります。


症例:最初の重瞼術失敗後、大江橋クリニック受診までに十数回の修正手術、10回近くの脂肪注入や脂肪・腱膜・人工物等の移植を受けられていました。いつ何をしたかも順序も覚えていない状態でした。丁寧な問診でできるだけ順を追って行われた操作を推定していきました。
瞼本来の組織は眼輪筋も眼窩脂肪もほとんど切除され、複数回移植したり切除したりを繰り返した移植腱膜や腹部の脂肪、人工注入物と瘢痕に置き換わっていました。
かろうじて残っていた眼瞼挙筋の断端を見つけ出して修復し眼瞼下垂症手術を行い、異物を可能な限り切除して二重瞼を作成しました。手術は1回のみです。術後1年目の写真です。残った傷跡の修正を提案しましたが、もうこれでいいとのことでした。
編集中
瘢痕修正手術
小さな傷痕や水疱瘡の痕、審美的な悩み(重瞼幅の左右差など)の調整は、美容的なものと見なされるため自費診療となります。
他院重瞼術直後の抜糸や修正は原則的にお断りしています。
編集中
重瞼手術・しわとり術
重瞼手術(二重まぶた)
切開法が基本です
まぶたの形は人によりさまざまです。基本的には生まれつき存在するラインを尊重した方が顔全体のバランスが取れますが、目頭の部分は切開線の開始位置によって印象がだいぶ変わります。


症例は他院で3年前に重瞼幅の狭い埋没をしたが、目頭が末広型に近くなったため、重瞼幅は細いまま切開法でやや平行型に修正し、合わせて少しまぶたをスッキリさせてまつげを心持ち上に向けています。
切開法による重瞼術は、最も基本的な術式です。すべての人に適応があり、手術結果も安定しています。傷はきれいに治れば目を閉じてもほとんどわかりません。


症例:眼瞼下垂の診断希望で受診されましたが上方視・下方視で異常なく一重瞼+皮膚の延長が主症状と判断し重瞼手術を勧めました。(眉は1週間前に他院で植毛術を受けたとのことでした。その際眼瞼下垂と言われたそうです、)
ひとえ瞼が嫌でのりやアイプチで二重にしようとしたがうまくいかなかったそうで、目頭から始まる細い末広型で、ギリギリまつ毛の付け根が見えるくらいの二重が希望とのこと。皮膚を5ミリ幅で切除、瞼の縁まで下がっていた脂肪を切除、少しぱっちり目にするため眼瞼挙筋腱膜は4ミリ程前進させて固定しましたが、学生さんなので通常の重瞼切開法の料金でお支払いいただきました。
右は約2年後(23ヶ月後)の最終診察日のものです。日本人なら100%知っている超有名企業に就職が決まったとのことで報告においでくださいました。最初の手術から9ヶ月目に左目尻の脂肪を少し取り足しています。その際の切開の傷跡が少し残っています。
適応: すべての瞼に向いています
埋没法が向いている人もいます




若い患者さんの症例:まだニキビの目立つ10代の学生さんです。初診時はニキビのご相談でしたが、約1ヶ月の治療でニキビが軽快したため、埋没法で重瞼を行うことにしました。瞼は比較的薄く、たるみもわずかなので、切開法よりもダウンタイムの少ない埋没方を選択しました。術後写真は手術翌日です。糸の跡がまだ目立ちますが、目を開けていれば不自然ではありません。
適応: 瞼が薄く、皮膚が弛んでいない人に向いています
編集中
瞼のたるみ取り手術(除皺術)
眼瞼手術の概要と経過
一般的な眼瞼の手術法について
- 手術着に着替え、準備された内服薬を手術前に飲みます(術後のこともあります)
- 手術台に上がって仰向けになり、ポジションをとって準備後、血圧を測ります
- テープでマスクや帽子を固定し、写真撮影とマーキングをします
- 顔の消毒をし、顔の上に目の部分だけ丸い穴の開いたシーツをかけます
- 片方ずつ(通常は右から)もう一度計測してインクで細かく印を付けます
- 目尻側の皮膚の表面から徐々に内側に向けて麻酔の注射をします
- 印を付けた部分の皮膚をメス切開し、必要な幅を切除します
- 眼輪筋と瞼板前組織などを必要に応じて切除します
- 切開線の上下に糸を掛けて手術部位を展開します
- 必要であれば眼瞼内部で脂肪切除や筋肉固定など様々な処理を行ないます
- 目の開き方を確かめてから、切開部を連続縫合します
- 通常はガーゼとテープで厳重に圧迫固定して終了します
術後の経過とケアについて
- 手術当日は顔を洗えません
- コンタクトレンズは約2週間お休みいただきます
- お渡しする内服薬は必ずすべて飲みきってください
- アイメイクは抜糸まで1週間程度お休みください
- 当日よりも翌日の朝の方がまぶたは腫れます
- マッサージやエステは腫れが引くまで行わないでください
- 翌日に診察を受けて出血や異常のない事を確認させてください
- 腫れや傷跡の赤みは人により数ヶ月続く場合があります
- タバコは傷の治りを極端に遅らせますのでお勧めしません
- 食事の制限はありませんがアルコールは控えてください
- 腫れが引くと二重の幅は徐々に狭くなります
編集中