初診時に決心できず2週間後にもう一度診察しました




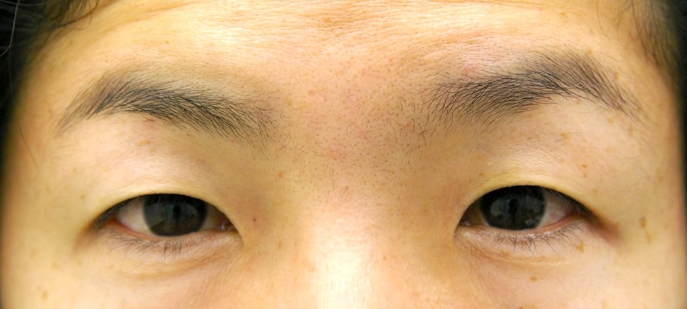
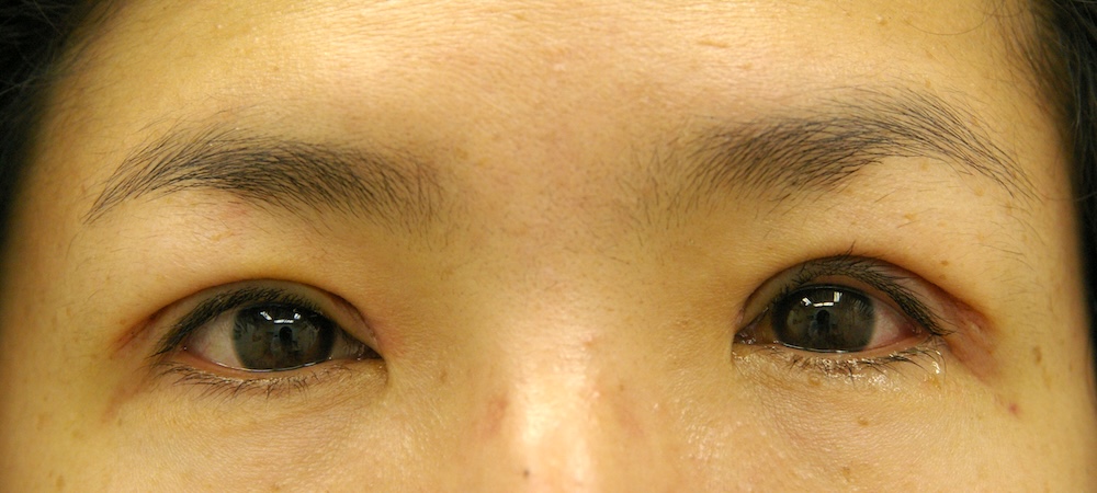
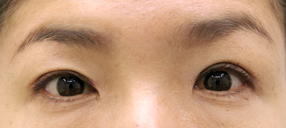
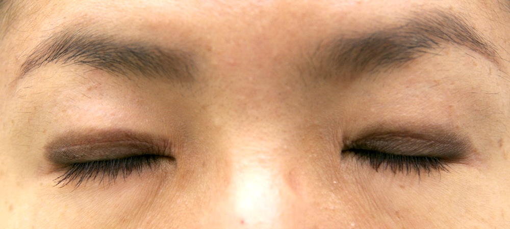
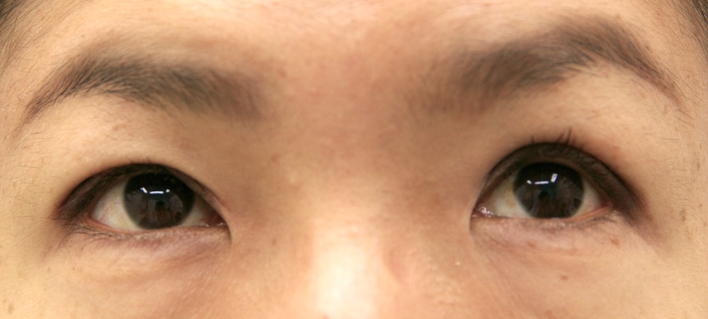
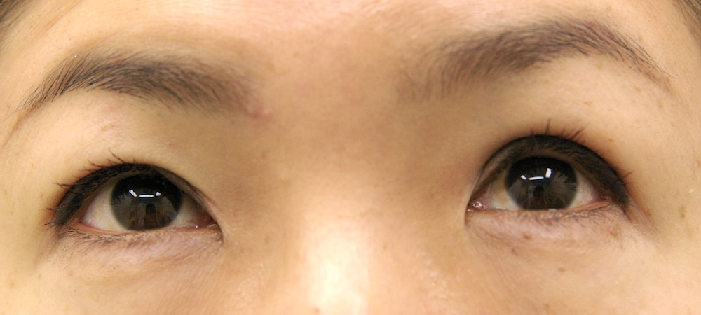
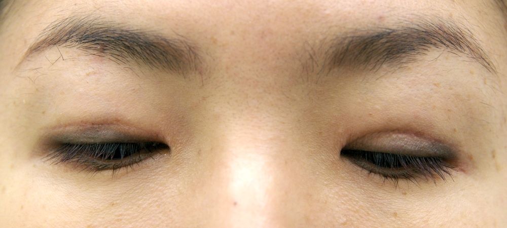
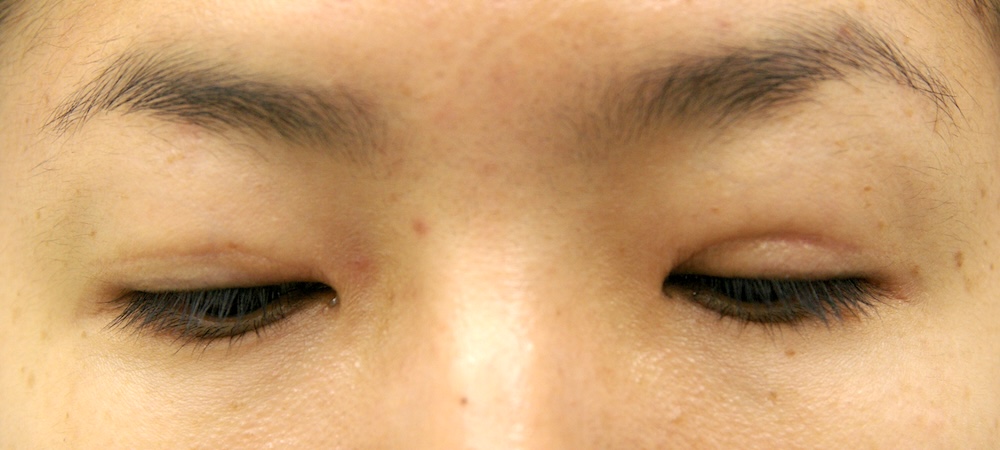
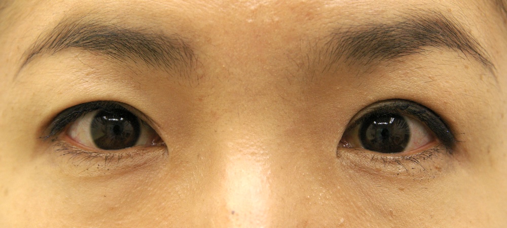
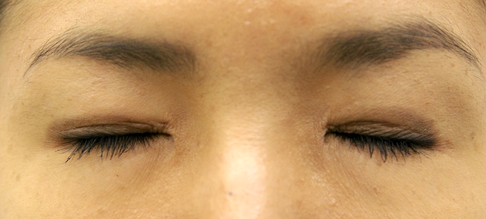
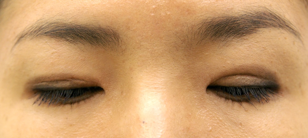
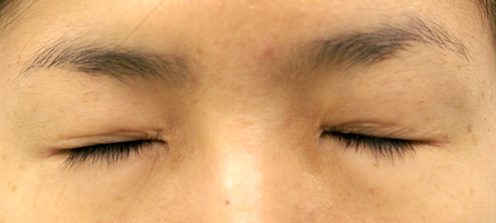
35歳女性。ここ5年ほど瞼が重く目が開きにくい、テレビで見て眼瞼下垂かもと思い、某美容クリニックを受診したが説明がピンと来なかったとのこと。瞼裂が小さめで目が離れて見え、縦幅を大きくし過ぎるとまんまるな「どんぐり目」になるためデザインが少し難しいタイプです。わずかに左>右の程度の差がある軽度の両側眼瞼下垂症で、前頭筋(ひたいと眉)を使わないと目があまり開かず、眼瞼挙筋の機能は低いようですがうまく計測できませんでした。先天性を疑います。




コンタクトレンズの使用経験なくもちろん老人性(退行性)でもありません。
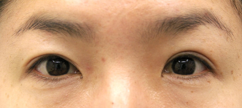
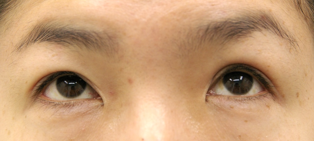
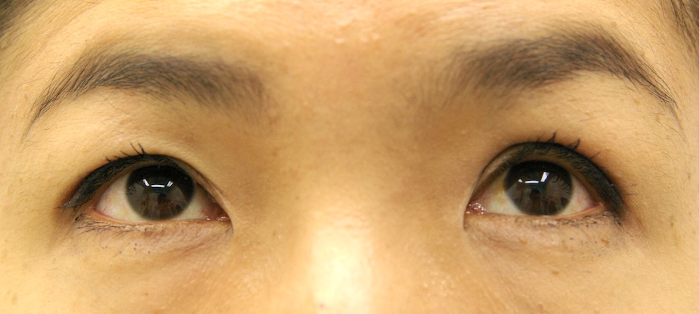
瞼裂やや狭小ですが、眼瞼縮小症候群の特徴である逆内眼角贅皮は見られず程度も軽いので病的なものではなさそうです。下垂も軽度でごく普通の一重瞼と言えなくもないのですが、挙筋機能がうまく計れず眉を上げないと上方視できないことから、先天性の素因もあるのではないかと思いました。視力は左右差がありますが正常範囲で、悪い方の眉挙上が見られます。
自転車競技では前傾して上方視しないと前方が見えませんから、軽度の下垂でもかなり影響がありそうです。かといってあまり前転し過ぎると形も悪くなりますし、眼瞼後退や兎眼が起こるとそれはそれで風の影響で目が乾いて困るでしょうから、控えめに止める必要があります。いうは易しで、適切な前転量を決めるのが難しい手術となりそうです。
眼瞼下垂症状の診断
コメント: 一重瞼の患者さんは瞼(縁)は下がっておらず、確かに上方視は障害されているとはいえ、瞼の動きそのものには異常がないので、眼瞼挙筋前転法で手術する必要はなく、普通の重瞼手術(埋没法でも切開法でも)で症状は改善するはずです。しかしこの患者さんの場合、挙筋機能の低下が見られ単純な一重瞼とは言えないようでした。
実際に手術をしてみると、筋肉の動きそのものは力も強く萎縮はなさそうでしたが、眼窩隔膜に包まれた脂肪が瞼縁まで下がっているのに挙筋腱膜は奥に引き込まれていて瞼板に固定されていませんでした。
腱膜性眼瞼下垂では一般的には眼瞼はよく動き、挙筋機能は15ミリ以上あって正常と判断することが多いのですが、今回は(瞼が小さいことも関係しているかもしれませんが)動きが少なくばらつきもあってうまく計測できませんでした。皮膚はこの方の年齢では大抵数ミリ伸びているのですが、ほとんど切り取る必要がありませんでした。しかし術前には必要ないと思っていた眼窩脂肪切除をしっかりしないと瞼板が露出出来ず、挙筋を固定しづらい状態でした。
眼瞼の手術は本当に、やってみないとわからないことが多く難しいと感じた症例です。
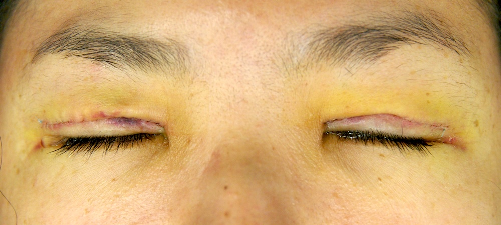
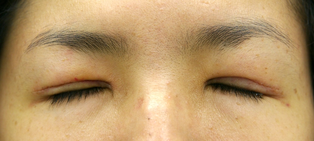
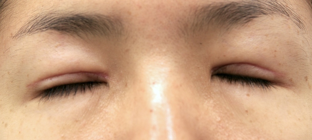
翌日はほとんど目が開きませんでした


一重瞼を二重にするには、皮膚の一番下がっているところが二重瞼の折り返しラインになるように切開すると大抵うまくいくのですが、今回は下がっているところが瞼縁から5ミリでやや狭く、そこで切ると奥二重になってしまうので、プラス1ミリ加えてラインを決めました。瞼縁の眼輪筋は切除して開く力を強め、ミュラー筋を剥離していきますが出血が多くうまく結膜との間に入れないため5ミリほどで断念しました。眼瞼挙筋は力強く奥に引き込まれることを確認して、ミュラー筋と重ねて重ねて6ミリ前転しました。
挙筋の力は強くグイグイ奥に引き込まれるのですが、瞼板に縫い付けると瞼があまり上がりません。術前は挙筋の力が弱いと思い10ミリ程度前転する予定だったのですが、反応を見て6ミリ前転としました。ところが6ミリだと瞼が開きません。挙筋の力と開瞼量が見合わないのです。開瞼を邪魔する力が瞼に働いているはずですが、発見できません。こういうとき焦って眼瞼挙筋の左右を切断したり靭帯を切除したりすると、瞼の形が歪み綺麗なアーチにならないことがあります。また前転を強くしすぎると術後に開きすぎて困ることが多いので、万一開かなくても再手術すればいいつもりでそのまま皮膚を閉じてしまいました。
翌日に再診してガーゼを外してもやはり瞼はほとんど開きません。ご本人は瞼が突っ張っている感じがすると言います。内心困りましたが、腫れがひけば開いてくる筈と信じてこのまま様子を見ることにします。
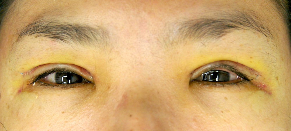
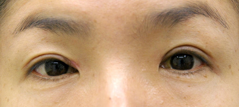
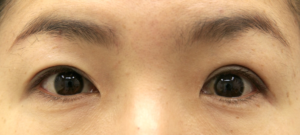
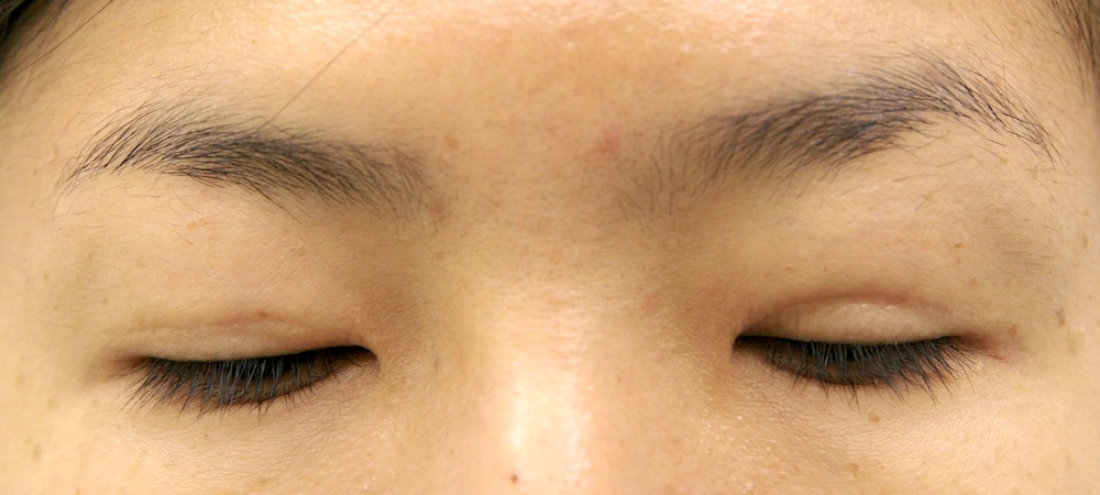
しばらく経つと目はぱっちり開いて来ました


上段が術後3日目、下段が術後7日目の抜糸時です。皮下出血と腫れがおさまると、両目ともだんだんぱっちりと開いてきました。一安心です。


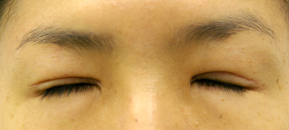
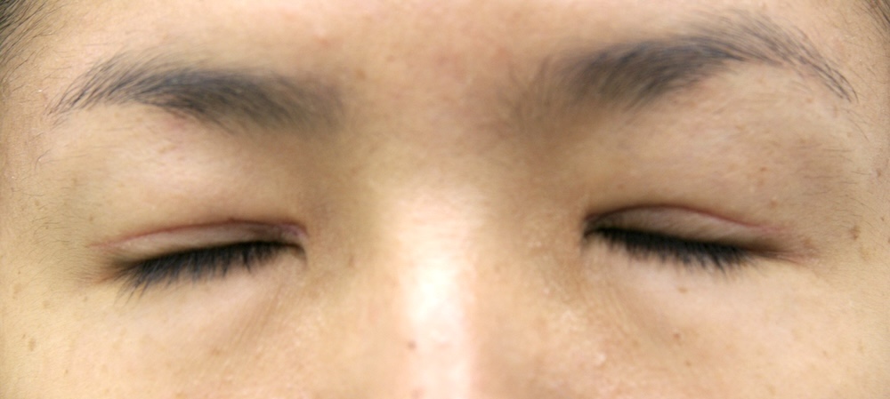
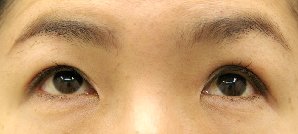
手術2週間目の様子


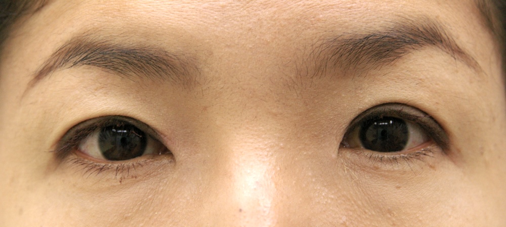
術後2週間目です。
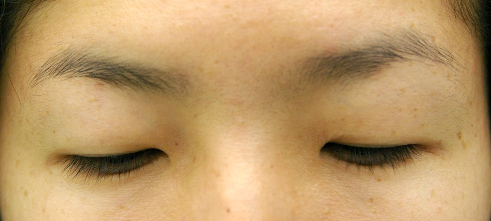
腫れはずいぶん引いてきました。目もぱっちり開いて特に困っていることはないそうですが、よく見ると術後に下がって左右揃っていた左眉がわずかに上がってきています。傷跡が固くなってくる頃なので、トラニラスト、トラネキサム酸、アスコルビン酸などの内服薬を飲んでいただくことにします。(現在ならばレーザー照射をするところですが、当時は行っていませんでした。)
2週間目から術後1ヶ月目にかけては目頭の傷が硬く縮んで赤く盛り上がってくる時期です。それに伴い目頭に斜めに線が入って形が変わってきたりしますので、患者さんにはあらかじめそうなることをお伝えして心配しないように言っておくといいでしょう。
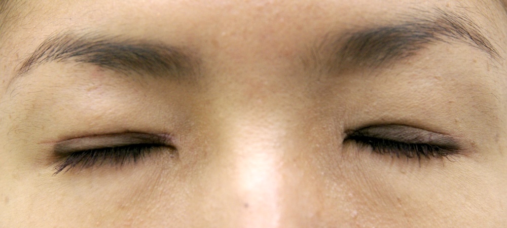
手術後1ヶ月目〜2ヶ月目の様子


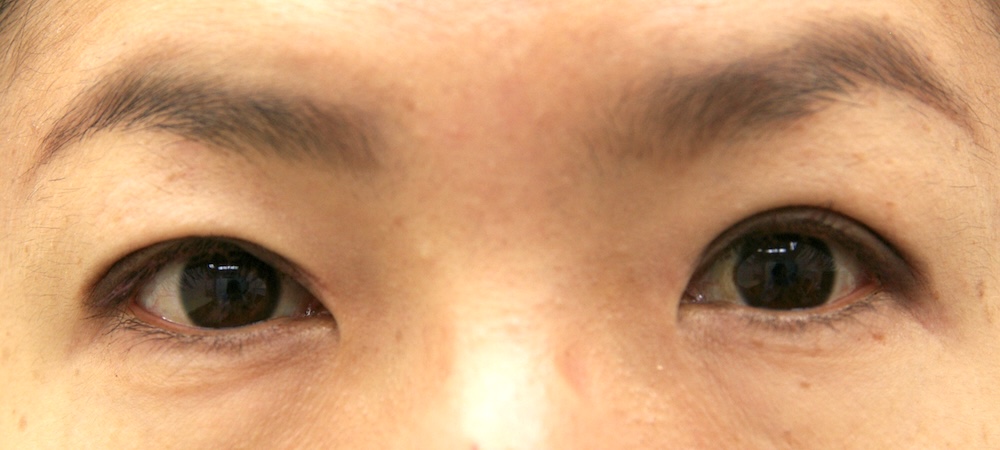
術後1ヶ月目です。
あらかじめお伝えしていたとおり目頭が硬く盛り上がってきました。目頭に斜めに線が入りY字型になっています。突っ張り感があり目がやや開きにくくなってくる頃です。予想通りであり順調な経過であることをお伝えします。


術後2ヶ月目です。
1ヶ月を過ぎると目の縁の腫れがようやく引き始めます。まだ目頭が赤く硬そうです。目を開けると引っ張られて赤みが増強するように見えます。
ご本人の感覚では目が開きやすくなってきたそうです。内服はまだ続けてもらった方が良さそうです。
術後3ヶ月目


術後3ヶ月です。
通常の形成外科、美容外科ではこれくらいで経過観察止めることが多いと思います(美容外科などでは1ヶ月目くらいまでしか見ないところもありそうです。)手術瘢痕の赤みが引いてくる目安がおよそ3ヶ月くらいなので、ここから先大きな変化はないと言われており、実際平均値としてはそんなものかもしれません。
しかし、体内での「修復工事」はまだまだ続いており、激変はないものの1年くらいは少しずつ微妙な変化はあると思います。
術後3.5ヶ月〜4ヶ月目の状態です


上段: 術後104日目 / 下段: 術後119日目


別件で診察においでになった時に写真を撮らせていただいたものですが、90日(前項)-104日(上)-119日(下)と2週間ごとに撮影した写真を見ると、まだ少しずつ腫れが引き、変化があることが写真上でもわかります。
4ヶ月目には少しまつ毛の上に皮膚が被ってきて、1年目くらいをめどに少しだけ皮膚を切除した方が良いかもしれないとお話しした記録があります。
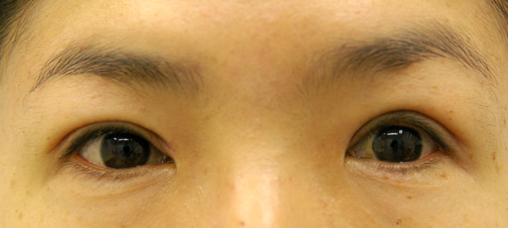
術後5.5ヶ月目の状態です




約半年経過しました。濃くアイシャドウを入れているので傷の状態は分かりにくいですが、赤みも引いて順調です。
上方視してもらうと左眉が上がります。右眉はあまり動きませんが、上方視野は保たれているようです。術前写真(下)と比較すると眉は上がってはいるが術前よりだいぶ額の力が抜けて楽に上方視できているように見えます。下方視の際に眼瞼後退もなく、閉瞼もしっかりできているので、もう大丈夫かなという感じです。


術後7.5ヶ月目(227日目)で瘢痕を抑える内服薬を修了しました




まだ傷痕の硬さが少し残っていますが、この時点で内服薬の治療を修了して経過を見ることにします。
自覚症状はほとんどなく、この時点での通院はその他のご相談が中心になってきています。
術後9ヶ月目




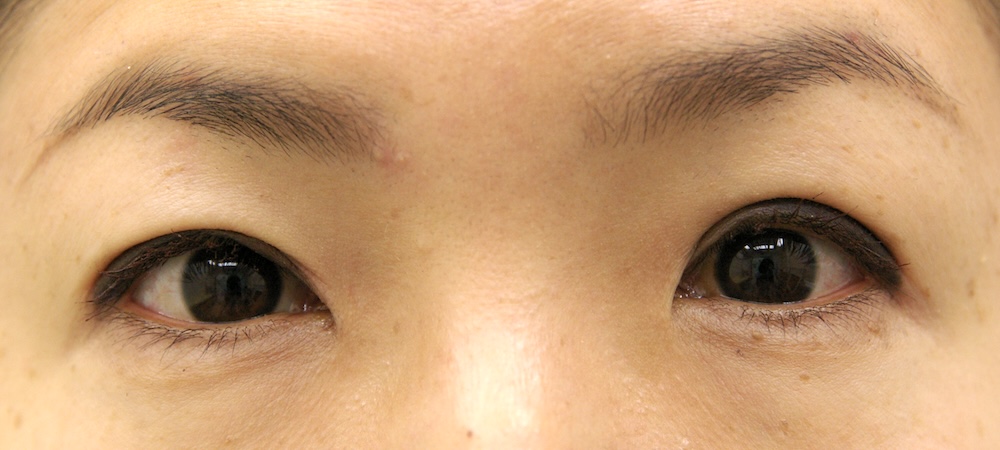
約1ヶ月半空いての受診時です。眉の高さがややそろい、右目もぱっちり開いてきました。
傷の赤みは少し残っていますが、瞼の縁の腫れが引いて、少し皮膚に皺がよってきています。
術後11ヶ月目




ほぼ1年近く経ちました。違和感もほぼなくなり、これで一旦治療を終了することにしました。
まだ切開した傷跡ははっきり見え、目をしっかり閉じると目頭に皺がよります。
術後14ヶ月目〜17ヶ月目




他のご相談のついでに経過写真を撮らせていただいたものです。
上段: 術後14ヶ月目 / 下段: 術後17ヶ月目




これで経過写真は一旦修了です。右側の傷はだいぶ薄くなってきました。
左側は切開瘢痕の上下の段差が目立ちますが、皮膚の中にできた線状の傷痕が硬いためなのでこれはなかなか平らにはなりません。
患者さんによって事情は様々で、特に遠方から受診された場合などは術後しばらく経つと来院されなくなることがあります。しかし、定期的に受診していただいた方は何らかの小さなトラブルがあってもその都度の対処によって大事に至らず、順調に回復していかれることがほとんどです。
良好な関係が築けていれば、トラブルが生じてもすぐ受診していただき対処できます。
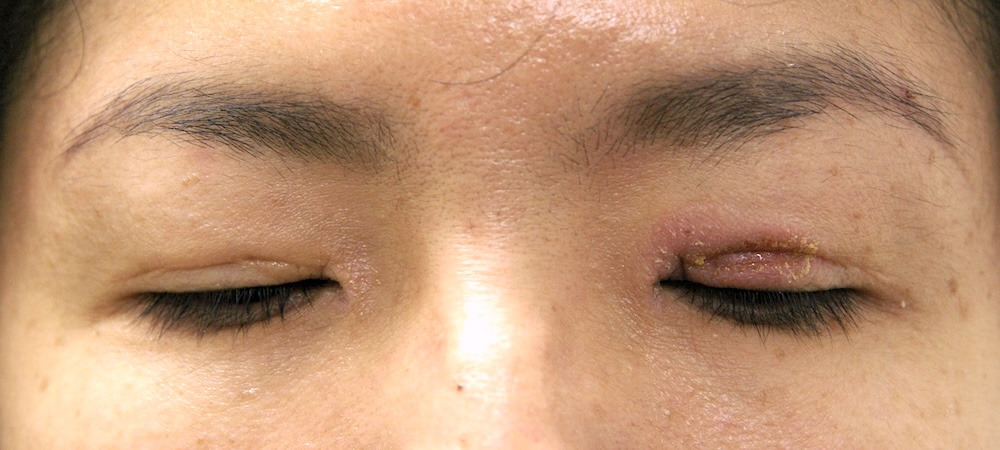
今回は、術後6年目に瞼のかぶれで受診された時に撮影させていただいた写真を追加しました。
術後6年目 (瞼のかぶれで受診時)




眼瞼下垂症に関しては特に問題なく経過し、眉の左右差もほぼ無くなり快適にお過ごしだったようです。突然生じた左目頭のかぶれに対しては塗り薬と内服薬で治療し、しばらくして全快されました。予想通り右側の皮膚が少し被ってきていましたが、今のところ支障なく切り取る希望もないとのことでした。左側はかぶれているため腫れていて重瞼幅がやや広く見え、傷跡も目立っていますが、皮膚炎が回復するのと並行して柔らかくなっていきました。
様々な眼瞼下垂症の初回・修正手術をはじめ、瞼のたるみの改善、瞼のできもの切除など、瞼の形を損なう様々な原因をとりのぞき、瞼をきれいに整える手術を得意としています。
眼瞼下垂の診察と治療について
大江橋クリニックでは眼瞼下垂症の診察・治療は自費診療とさせていただきます。
眼瞼下垂の診断・手術を希望して受診される患者さんのおよそ7割以上は「眼瞼下垂症」の症状がありません。まぶたが細く見える、あるいは肩こり・頭痛がある、などの症状だけでは眼瞼下垂症とは言えないことが多いのです。もちろん何らかの「症状」はありますが、それが眼瞼下垂とは結びつかないことが多いです。(他院の術後、不満足な仕上がりなどで相談される場合なども、眼瞼下垂の症状「だけ」は治ってしまっていることがあります。)
特に多いのが加齢等による「まぶたのたるみ」と「生まれつきのひとえまぶた」です。これは病気とは言えず、「たるみ取り手術」「重瞼(ふたえ)手術」の適応になります。大江橋クリニックではこうした美容的な手術を行う際にも必要があれば眼瞼挙筋腱膜を固定する手術を追加して行っています。逆に眼瞼下垂症の改善を優先する場合でも十分に美容的な側面を考慮して行い皮膚のたるみを切除したり重瞼幅の調整などを行います。両者の手術法に特に違いはありません。
健康保険の対象となる挙筋前転法の眼瞼下垂症手術は、大江橋クリニックの行っている手術を構成する手順の一部であり、当クリニックでは一般的な眼科や形成外科等で行っているものより総合的でグレードの高い手術を行なっております。
大切なご注意
もちろん手術ですからダウンタイムもリスクもそれなりにあり、回復までの時間にも個人差がかなりあります。
また元の症状の違いによって誰でも左右差なく綺麗に治るという保証はありません。特に、眼瞼挙筋の力が生まれつき左右で違う先天性の眼瞼下垂では、一度の手術で左右差を完全に無くすことは難しいものですし、筋肉の動きが悪い場合には「ぱっちりあけてしまう」ことで逆に「目がつぶれない」という症状が悪化してしまうため、ほどほどの改善で我慢しなければならないこともあります。
患者さんの日常生活で何が困るのかを考慮せず、単純に「ぱっちり開くように」手術され、術後のフォローも不十分なため苦しんでいる患者さんも時々見られます。手術後は眼瞼挙筋だけでなく目の周りの多くの筋肉が今までと違う動きをするようになるため、人によっては術後の「筋トレ」が必要になったり、落ち着くまで数ヶ月を必要としたり、視線を動かす時に不自然にならないように練習しなければならないこともあります。
手術とは、そうした術後管理も含めて一つの治療です。手術したらそれで終わりではなく、術前から術後まで長い時間かけて良い結果を得るよう努力することで、初めてその手術が成功したと言えるのです。