眼瞼黄色腫の治療
〜 Treatment of Xanthelasma 〜

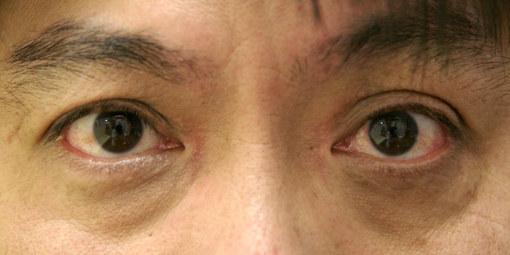
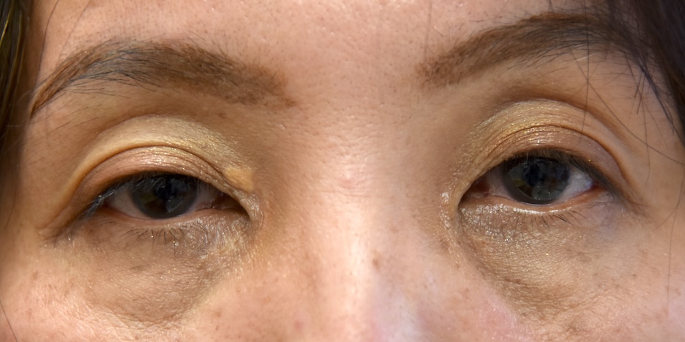
男性眼瞼黄色腫術前 大江橋クリニック

大江橋クリニックは 眼瞼黄色腫の手術治療をしています

  • 瞼眼瞼黄色腫は目の印象を損ねる代表的な眼瞼の良性腫瘍です
  • レーザー治療は目立つ傷跡を残し再発も多いのでお勧めしません
  • 切除手術と皮弁による瞼の再建自費診療で行っています

特集ページとして独立させました

実際には眼瞼黄色腫のできやすい患者さんには眼瞼下垂症や瞼のたるみ、傷跡やホクロ、他の腫瘍などさまざまな症状が合併していることが多く、単純な皮膚腫瘍摘出手術や皮弁作成術の範疇に収まらない患者さんがたくさんいます。そうした場合もどのような手術が最善の結果を得られるか、ご相談しながら治療を進めています。

手術費用総額 税込およそ44万円程度 (片側のみの治療はご相談)

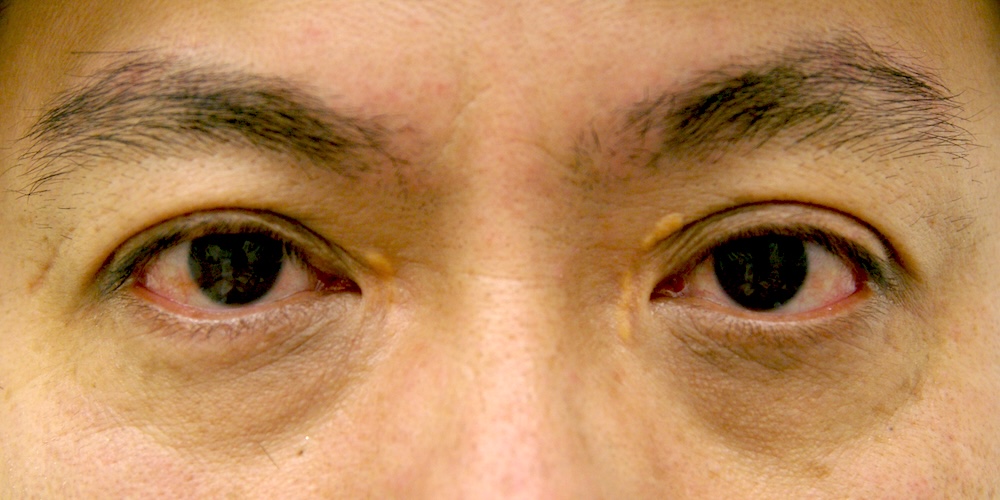
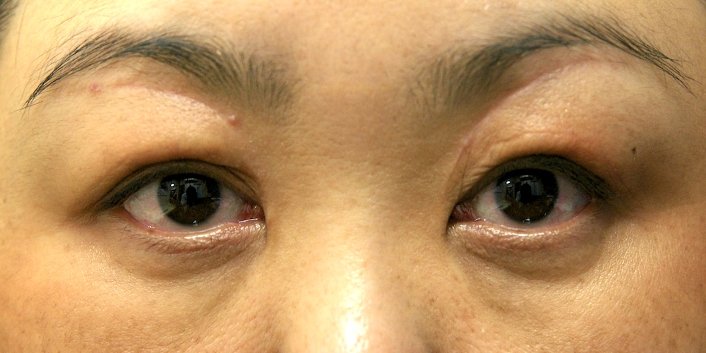
男性眼瞼黄色腫術前 大江橋クリニック 男性眼瞼黄色腫術後 大江橋クリニック
男性眼瞼黄色腫術前 大江橋クリニック 男性眼瞼黄色腫術後 大江橋クリニック
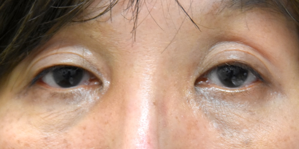
女性眼瞼黄色腫術前 大江橋クリニック 女性眼瞼黄色腫術後 大江橋クリニック
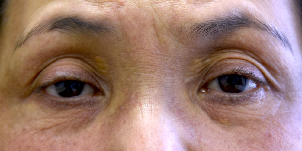
男性眼瞼黄色腫術前 大江橋クリニック 男性眼瞼黄色腫術前 大江橋クリニック
男性眼瞼黄色腫術前 大江橋クリニック 男性眼瞼黄色腫術前 大江橋クリニック
女性眼瞼黄色腫術前 大江橋クリニック 女性眼瞼黄色腫術前 大江橋クリニック

ここにあげた写真は、多くの症例の中から多発・再発例や小さくても奥深いもの、瞼の広範囲に及ぶ巨大なもの、他院術後の再発、片側だけのもの、眼瞼下垂症併発のものなどいろいろなタイプの瞼を選んで掲載しています。それぞれの患者さんがどのような経過を辿ったのか、といった説明は必要に応じて他の場所に詳しく書きます。

大江橋クリニックでは、眼瞼黄色腫は原則としてできるだけ残さず全切除し、切除後にできた欠損は皮弁を用いて再建しています。レーザー治療はお勧めしません。どうしてもするならごく初期の小さなものに限って行い、再発はほぼ必発であること、人によっては目立つ傷跡が残ることなどをご説明した上で治療しています。

手術費用について

眼瞼黄色腫の切除再建の手術料は、細かい術式の違いにこだわらず、他の瞼の美容手術と同額の税抜35万円としています。他に初診料、検査料、予約料、術後の再診療、処置料などが必要ですが、順調に経過すれば総額で上記金額くらいに収まります。皮膚科やアレルギー科の治療を同時に行う場合や、術後経過によって必要なお薬が増えた場合、レーザー治療を併用する場合などは、別に費用負担が発生します。保険診療可能な分については保険を適用することもあります。

再発や傷跡修正などの再手術も同額です。ただし他院の術後トラブルをお引き受けする修正手術は、手術料を税抜50万円としています。

眼瞼黄色腫はなぜレーザー治療に向かないか

眼瞼黄色腫は皮膚の深いところから出てくるからです

この出来物は初期のうちは小さく平らに見えることがあるため、皮膚の表面から液体窒素で凍結したり、レーザーで削ろうとする医師がいます。しかし腫瘍の本体は皮下で大きく広がっており、レーザーで取り除くのはよほど小さなものでないと無理です。

眼瞼黄色腫術前 大江橋クリニック

(右は他院治療後の瘢痕と再発例)
その場合も全摘出はできないので、いずれ再発します。レーザーで取れたという症例を見ても、経過を半年程度しか追っておらず、その後再発しても患者さんの多くは同じクリニックを再診しないので、医師も取れたと思い込んでいるのかもしれません。

眼瞼黄色腫 大江橋クリニック

眼瞼黄色腫術中 大江橋クリニック

(右の写真は血管の枝に沿って白っぽい粒々に見える黄色腫が奥の方まで続いている様子を示す。)

眼瞼黄色腫 大江橋クリニック

眼瞼黄色腫の本体は、血管から染み出した脂肪やコレステロールを貪食して大きくなった組織球(マクロファージ)の大集団です。脂肪を溜め込んで顕微鏡では泡のように見えるため、泡沫細胞とも呼ばれます。血管の周りを取り巻くように集塊を形成し、線維性の結合織で囲まれて分葉状に発育していきます。ですから、その中心には常に血管があり、枝分かれした細小血管にぶどうの房のように粒々の腫瘍塊が鈴なりになっています。

眼瞼黄色腫 大江橋クリニック

瞼の皮膚は薄く、血流も豊富で黄色腫が発育しやすい条件が整っています。最初は真皮内に薄く広がっていますが、徐々に厚みを増し、盛り上がってきます。切除しようとすると、表皮を透かして見えている範囲より一回り大きく硬い塊があり、それを掘り起こすようにして周囲の結合組織をつけて取り除くとほぼ完全切除できます。
上下の瞼で黄色腫の広がる方向は、血管の走行方向でほぼ決まるので、下眼瞼は眼窩下溝に沿って線状に広がり切り取りやすく、切除しても傷跡が目立ちにくいのですが、上眼瞼では重瞼線より上に不規則に広がるので切り取って素直に縫合すると重瞼ラインが乱れ瞼の形が変わってしまいます。これを皮弁で修正する必要があります。

手術ではできるだけ深くまで残りなく切除します

眼瞼黄色腫術中 大江橋クリニック

通常は単純にできるだけ形に添って切除します。表面に見えているより奥の方が広がっていることが多いので、一回り大きな深い穴ができます。ある程度大きくなると、切除した後の欠損は単純に縫って塞ぐことはできなくなります。
そのまま縫うと目の形(特に重瞼ライン)が変わり、不自然な印象になってしまうことが多いので、局所皮弁術や全層植皮術などの形成外科的工夫をして瞼を再建しないときれいに治りません。大江橋クリニックではこうしたできものの切除・再建も行っています。

左の写真は、眼瞼手術のページでも紹介した再発症例(他院形成外科で切除したがとりきれておらず、切開線に沿って再発した)の術中写真です。やはり眼輪筋に染み込むように黄色い腫瘍が深くまで侵入しているのがわかります。

眼瞼黄色腫は眼輪筋を栄養する血管の周囲にコレステロールを溜め込んだ細胞が住み着いて増えていることから、細胞の溜め込んだコレステロールを減らすため、高コレステロールの治療薬を内服する試みもされましたが、通常一旦増えてしまった腫瘍の細胞にはあまり効果はありません。見えているよりも広範囲に深くまで広がっていますから、切り取る事はできても傷をきれいに治すのは案外難しい腫瘍の一つです。

症例 1: 7年後の再発を再手術

一段目:黄色腫が広範囲に皮下深くまで浸潤しているため全摘出できず、悪性腫瘍ではないのでいずれ再発もあることを説明した上で見た目の改善を優先した。右は術後2ヶ月目の傷の状態。重瞼ラインの調整は特に希望されなかったため、左右差は調整せず腫瘍の切除のみとしている。傷跡はまだ赤みが強いが、あまり不自然さはない。赤みがへるには時間がかかることを説明して、一旦治療を終了した。
二段目:上の7年後、再発したため再手術した。右は術後2週間目なのでまだ縫合した傷跡が目立つ。
眼瞼下垂症状が進行してきているが、今のところ手術希望がない。(眼瞼黄色腫になる患者さんは瞼の皮膚が傷んでおり、眼瞼下垂症を合併していることが多い。希望があれば眼瞼下垂症の治療もできるが、あまり希望されない。)
できれば皮膚のたるみをもう少し取ると若々しい感じになるのだが、更なる黄色腫再発の可能性も否定はできない。皮膚が足りなくなって更なる再発の際に対応できない可能性があるため、今回はできるだけ皮膚を温存しておいた。

男性眼瞼黄色腫術前 大江橋クリニック 男性眼瞼黄色腫術後 大江橋クリニック
男性眼瞼黄色腫再発術前 大江橋クリニック 男性眼瞼黄色腫術後 大江橋クリニック

症例 2: 両側とも小さいが、単純には縫合できない

一段目:黄色腫は一見小さく見えるが、右に示すように切り取ってみると深い欠損が残り、そのままでは縫えない(単純に縫うと瞼の形が変わってしまう)。
二段目:瞼の皮膚全体を内側にずらすように皮弁を作ると、瞼の形を損わずに欠損部が塞げる。
右:術後1ヶ月でまだ傷は赤いが、自然な開瞼状態で特に不都合はない。

男性眼瞼黄色腫術前 大江橋クリニック 男性眼瞼黄色腫術中 大江橋クリニック
男性眼瞼黄色腫術直後 大江橋クリニック 男性眼瞼黄色腫術後 大江橋クリニック

※ 上段左は術前仰臥位(仰向けに寝た状態)のため眉の挙上や下瞼のたるみが目立たない。下段右は座位のため眼瞼下垂による眉の挙上と下眼瞼のたるみが顕在化している。これらについては治療希望がないため手術していない。

症例 3: 眼瞼黄色腫+眼瞼下垂+重瞼…

下の症例については少々説明が必要です。パッと見ると幅広で派手すぎる重瞼失敗例のように見えるのではないでしょうか。切開位置の不適切な眉下切開失敗例と思う方もいるかもしれません。
詳しい経過はいずれ症例ページを設ける予定ですが、まずは下の説明をお読みください。

拡大してよく見ていただくとわかるのですが、目尻まで瞼ほぼ全体に広がった大きな眼瞼黄色腫です。関東在住のため自治医大病院を受診したところ、入院して瞼の皮膚をすべて切除し、耳の裏から皮膚を取って瞼全体の皮膚を張り替える手術を提案されたとのことでした。
大阪に長期出張となったのを機会に大江橋クリニックを受診されました。奥二重で眉も上がり、軽症ですが両側の眼瞼下垂症も認めました。
これらを一括して治療するため、黄色腫をできるだけギリギリのラインで切除するとともに、眼瞼挙筋前転法による眼瞼下垂症手術と埋没法による重瞼作成を同時に行うこととしました。初回手術で作成した重瞼ラインがやや細く奥二重気味となりご希望に合わなかったため、傷跡の修正を兼ねて初回手術の8ヶ月目に切開法でよりぱっちりと幅広く作成し直し、右の術後写真は、2回目の手術からさらに7ヶ月経過した時点のものです。眉下のまだ赤い傷跡は再手術時のものです。
出張が終わり関東に戻られたため、以後の経過は追えていませんが、このような特殊な手術も行なっている例として出させていただきました。

右まぶたの術前拡大です。黄色い腫瘍部分は切除し、上下に残った皮膚を内側に移動させながら寄せ集めるようにして局所皮弁で再建すると同時に、縫合ラインが重瞼ラインと一致しないため、皮弁裏から糸をかけて埋没糸で重瞼ラインを作成します。

右側の手術後7日目、抜糸後の写真です。眉下に残った皮膚を広げながら目頭方向に移動させるとともに、瞼縁の薄い皮膚を上に引き伸ばして欠損を塞ぎ、埋没法で重瞼ラインを作成しています。同様の手術を反対側にも行いました。
右と左では腫瘍の形が違うので、皮弁の形も縫合した傷も左右で異なります。傷跡や重瞼ラインが出来るだけ左右対称になるように工夫が必要でした。

上は初回術後7ヶ月目の写真です。まだ腫れているので瞼全体が分厚く見えます。本来ならばもう数ヶ月待ちたいところですが、ご本人の出張予定もあり再手術することになりました。眼瞼下垂はきれいに治り、眉も下がってきています。眉下の傷跡と全体の腫れぼったさは残るものの、このまま待っていれば徐々に目立たなくなるはずでした。
眉下の縫合の傷跡がやや目立つため縫い直して平に修正すると同時に、腫れが長引いて重瞼ラインが下がり奥二重になってきたのを、がっつり幅広二重にしたいというご希望でした。顔のパーツとしてはくっきりとした二重が似合いそうな方でしたので、しばらくは食い込みがきつくやや不自然であることはご納得いただいた上で、しっかりとした重瞼ラインを作りました。腫れが引いて自然になるには1年くらいかかりそうですが、今後の長い人生を考えれば今やっておくべきかとも思いお引き受けしました。

眼瞼手術の概要と経過

  1. 手術着に着替え、準備された内服薬を手術前に飲みます(術後のこともあります)
  2. 手術台に上がって仰向けになり、ポジションをとって準備後、血圧を測ります
  3. テープでマスクや帽子を固定し、写真撮影とマーキングをします
  4. 顔の消毒をし、顔の上に目の部分だけ丸い穴の開いたシーツをかけます
  5. 片方ずつ(通常は右から)もう一度計測してインクで細かく印を付けます
  6. 目尻側の皮膚の表面から徐々に内側に向けて麻酔の注射をします
  7. 印を付けた部分の皮膚をメス切開し、必要な幅を切除します
  8. 眼輪筋と瞼板前組織などを必要に応じて切除します
  9. 切開線の上下に糸を掛けて手術部位を展開します
  10. 必要であれば眼瞼内部で脂肪切除や筋肉固定など様々な処理を行ないます
  11. 目の開き方を確かめてから、切開部を連続縫合します
  12. 通常はガーゼとテープで厳重に圧迫固定して終了します
  1. 手術当日は顔を洗えません
  2. コンタクトレンズは約2週間お休みいただきます
  3. お渡しする内服薬は必ずすべて飲みきってください
  4. アイメイクは抜糸まで1週間程度お休みください
  5. 当日よりも翌日の朝の方がまぶたは腫れます
  6. マッサージやエステは腫れが引くまで行わないでください
  7. 翌日に診察を受けて出血や異常のない事を確認させてください
  8. 腫れや傷跡の赤みは人により数ヶ月続く場合があります
  9. タバコは傷の治りを極端に遅らせますのでお勧めしません
  10. 食事の制限はありませんがアルコールは控えてください
  11. 腫れが引くと二重の幅は徐々に狭くなります